Skip Menu
Continue

Existing Patients: (631) 968-5995
New Patients: (631) 619-8720
1322 5th Ave, Bay Shore, NY 11706
  • Home
  • About Us
    • Our Office
    • New Patients
    • Smile Gallery
    • Dental Videos
  • Our Staff
    • Kamran Sanandaji, DDS
    • Kourosh Yaghoubian, DDS
  • Services
      • All on 4®
      • All on 6®
      • Ceramic Crowns
      • ClearCorrect®
      • Dental Bridges
      • Dental Fillings
      • Dentures
      • Emergency Treatment
      • Extractions
      • Full Mouth Reconstruction
      • Implant Dentistry
      • Invisalign®
      • Lumineers®
      • Night Guards
      • Oral Exams
      • Pediatric Dentistry
      • Periodontal Treatment
      • Preventive Program
      • Root Canals
      • Smile Makeover
      • Snap-On Smile®
      • Sports Mouthguards
      • Teeth Whitening
      • Veneers
      • Zoom! Whitening
    • View All
  • Special Offers
  • Reviews
  • Dental Health
  • Social
  • Contact Us
  • Request Appointment

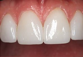
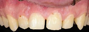
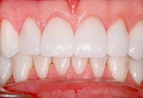
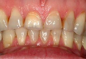
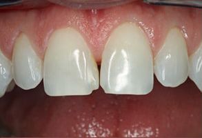
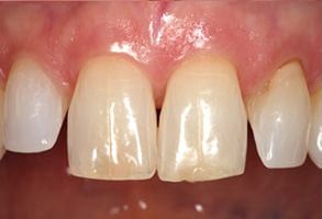
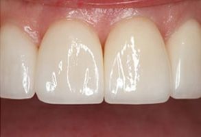
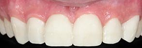
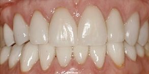
Smile Gallery